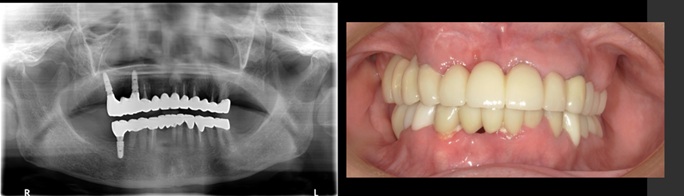
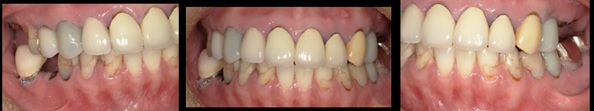
インプラント
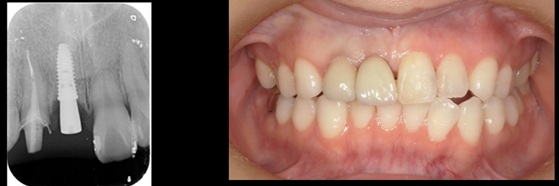
抜歯即時フラップなしで埋入し3か月後に完成
治療前

治療後

施術名 | 抜歯即時インプラント埋入 |
---|---|
主訴 | 前歯が痛い。破折していました |
施術の副作用(リスク) | 感染脱落 |
施術の価格 | 1本GBR5万~10万(税抜き)+インプラント埋入補綴まで35万(税抜き) FGG5万 ソケットリフト6万 |
コメント | 前歯2本抜歯即時で歯茎も切らずに埋入をして3か月後に補綴を行いました右上歯ソケットリフトで対応しました |
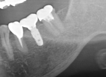
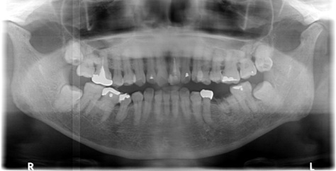
下顎管まで近いケースショートインプラントと垂直GBR(骨造成)で対応した →インプラント埋入
治療前

治療後

施術名 | インプラント埋入垂直GBR(骨造成) |
---|---|
主訴 | 噛めない |
施術の副作用(リスク) | 感染脱落 |
施術の価格 | 1本GBR5万~10万(税抜き)+インプラント埋入補綴まで35万(税抜き) FGG5万 |
コメント | 下顎管まで近いケースショートインプラントと垂直GBR(骨造成)を同時に行いました |
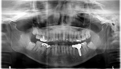
4歯欠損インプラント骨造成(GBR)
治療前

治療後

施術名 | インプラント骨造成(GBR)ソーセージテクニック |
---|---|
主訴 | 噛みにくい |
施術の副作用(リスク) | 感染脱落 |
施術の価格 | 1本GBR5万~10万(税抜き)+インプラント埋入補綴まで35万(税抜き) FGG5万 ソケットリフト6万 |
コメント | 大きく骨がなくインプラント埋入のためにまずは骨造成(ソーセージテクニック)を行いました! |
臼歯大きくGBR(骨造成)50代男性
治療前

治療後

施術名 | 抜歯GBR(骨造成)そーせじテクニック →インプラント埋入 |
---|---|
主訴 | 噛めない |
施術の副作用(リスク) | 脱落感染 |
施術の価格 | 1本GBR5万~10万(税抜き)+インプラント埋入補綴まで35万(税抜き) FGG5万 ソケットリフト6万 |
コメント | 臼歯部はほとんど骨がなく垂直的に骨を作ってからインプラント埋入を行いました |
60代女性右下2本インプラント埋入
治療前

治療後

施術名 | 2本インプラント埋入 |
---|---|
主訴 | 右の歯がなくて噛めない |
施術の副作用(リスク) | 感染 |
施術の価格 | インプラント埋入補綴まで35万(税抜き) |
60代女性骨がなくGBRしインプラント2本埋入
治療前

治療後

施術名 | 右上2本インプラント埋入FGGBGBRソケットリフト その他はかぶせもの |
---|---|
主訴 | 右上破折はれ |
施術の副作用(リスク) | 感染 |
施術の価格 | 1本GBR5万~10万(税抜き)+インプラント埋入補綴まで35万(税抜き) FGG5万 ソケットリフト6万 |
コメント | 右上は骨がなく抜歯の時にしっかり骨を作ってから埋入を行いました。またしっかりした歯茎も移植FGGしインプラントの予後をよくしました |
左下インプラントGBR(60代女性)
治療前

治療後

施術名 | インプラントGBR |
---|---|
主訴 | 左下歯が抜けた |
施術の副作用(リスク) | 感染脱落 |
施術の価格 | 1本GBR5万~10万(税抜き)+インプラント埋入補綴まで35万(税抜き) |
奥歯インプラント2本埋入※1つはポンティック(70代男性)
治療前

治療後

施術名 | インプラントFGG |
---|---|
主訴 | 左下噛めない |
施術の副作用(リスク) | 感染脱落 |
施術の価格 | 1本GBR5万~10万(税抜き)+インプラント埋入補綴まで35万(税抜き) |
前歯抜歯即時インプラント(70代女性)
治療前

治療後

施術名 | 抜歯即時インプラント |
---|---|
主訴 | 前歯の破折 |
施術の副作用(リスク) | 感染脱落 |
施術の価格 | 1本GBR5万~10万(税抜き)+インプラント埋入補綴まで35万(税抜き) |
インプラント(40代男性)
治療前

治療後

施術名 | インプラント |
---|---|
主訴 | 奥歯の破折 |
施術の副作用(リスク) | 感染脱落 |
施術の価格 | インプラント埋入補綴まで35万(税抜き) |
奥歯2本インプラント埋入FGG(60代男性)
治療前

治療後

施術名 | インプラント埋入FGG |
---|---|
主訴 | 噛めない |
施術の副作用(リスク) | 感染脱落 |
施術の価格 | 1本GBR5万~10万(税抜き)+インプラント埋入補綴まで35万(税抜き) |
コメント | もともと歯がないところに入れたので3か月で噛めるようになりました |
無歯顎に骨造成を行いインプラント埋入(60代女性)
治療前

治療後

施術名 | GBR,ソーセージテクニックTIメッシュ ソケットリフトFGG |
---|---|
主訴 | ほかの医院で入れたインプラントがすべて取れたので噛めない |
施術の副作用(リスク) | 感染脱落 |
施術の価格 | 1本GBR5万~10万(税抜き)+インプラント埋入補綴まで35万(税抜き) |
コメント | 骨がなくなっていたのでしっかり作ってからインプラント埋入を行いました |
インプラント6本埋入+FGG(60代女性)
治療前

治療後

施術名 | インプラント6本埋入+FGG |
---|---|
主訴 | 噛めない |
施術の副作用(リスク) | 脱落感染 |
施術の価格 | 施術の費用 1本GBR5万~10万(税抜き)+インプラント埋入補綴まで35万(税抜き) |
コメント | 下の前歯は再生療法ブリッジを行い歯を保存しました |
50代男性右下抜歯インプラント治療
治療前

治療後

施術名 | インプラントFGG |
---|---|
主訴 | 右㊦破折 |
施術の副作用(リスク) | 感染 |
施術の価格 | 1本35万円FGG 1ブロック5万円ガイドシステム1顎5万円 |
30代女性左上歯を失った→抜歯即時GBRインプラントFGG
治療前

治療後

施術名 | 抜歯即時GBRインプラントFGG |
---|---|
主訴 | 歯がなくなった |
施術の副作用(リスク) | 感染 |
施術の価格 | 1本35万円FGG 1ブロック5万円ガイドシステム1顎5万円 |
40代女性前歯が痛い→抜歯即時CTGインプラント埋入
治療前

治療後

施術名 | 抜歯即時CTGインプラント埋入 |
---|---|
主訴 | 前歯が痛い。破折していました |
施術の副作用(リスク) | 感染などによる脱落。骨ができない |
施術の価格 | 1本35万円FGG 1ブロック5万円ガイドシステム1顎5万円 |
コメント | 抜歯と同時に埋入を行い同時に角化歯肉を移植しました |
40代女性歯を入れてほしい→抜歯即時GBRインプラント埋入FGG
治療前

治療後

施術名 | 抜歯即時GBRインプラント埋入FGG |
---|---|
主訴 | 歯を入れてほしい |
施術の副作用(リスク) | 感染などによる脱落。骨ができない |
施術の価格 | GBR1ブロック5万円埋入1本35万円FGG 1ブロック5万円ガイドシステム1顎5万円 |
コメント | 抜歯即時埋入することで治療期間が短縮できますこの方で3か月です。 |
30代男性歯を入れてほしい→TI強化膜による垂直GBRソケットリフトインプラント埋入FGG
治療前

治療後

施術名 | TI強化膜による垂直GBRソケットリフトインプラント埋入FGG |
---|---|
主訴 | 歯を入れてほしい |
施術の副作用(リスク) | 感染などによる脱落。骨ができない |
施術の価格 | 直骨GBR1ブロック15万円埋入1本35万円ソケットリフト5万円FGG 1ブロック5万円ガイドシステム1顎5万円 |
コメント | 骨が全くなく垂直的に骨をしっかり作ったのちにインプラント埋入を行いました! |
70代男性骨がなくてインプラントできない→GBRインプラントソケットリフト
治療前

治療後

施術名 | GBRインプラントソケットリフト・FGG |
---|---|
主訴 | 奥歯で噛めない |
施術の副作用(リスク) | 感染などによる脱落。骨ができない |
施術の価格 | 直骨GBR1ブロック15万円埋入1本35万円ソケットリフト5万円FGG 1ブロック5万円ガイドシステム1顎5万円 |
コメント | 歯部に骨がほとんどなく垂直的に骨の増生を行い(GBR)インプラントを埋入しました しっかり歯肉も作っています(FGG) |
50代女性㊦奥2本インプラント
治療前

治療後

施術名 | インプラント |
---|---|
主訴 | 奥歯がない |
施術の副作用(リスク) | オペ感染 |
施術の価格 | インプラント35万 |
コメント | 奥歯がなく2本同時に埋入し、3か月後に噛めるようになりました |
50代女性重度歯周病 抜歯即時GBR(骨造成)・FGG(角化歯肉移植)・インプラント
治療前

治療後

施術名 | 抜歯即時GBR(骨造成)・FGG(角化歯肉移植)・インプラント |
---|---|
主訴 | 歯が揺れている噛みにくい |
施術の副作用(リスク) | オペの感染。インプラント周囲炎 |
施術の価格 | GBR(骨造成)5万・FGG(角化歯肉移植)5万・インプラント35万 |
コメント | 重度歯周病のため残るとこは残してどうしてもだめなところは抜歯しインプラントをしました。骨がないためしっかり骨を作り、角化歯肉移植もししっかり長期保つような歯周外科を施しました。 |
下の奥歯2本インプラント
治療前

治療後

施術名 | インプラントオペ |
---|---|
主訴 | 奥歯がなくて噛めない |
施術の副作用(リスク) | 感染 |
施術の価格 | 35万+ガイド5万(税抜き) |
コメント | 60代男性奥歯に2本インプラント埋入をいたしました。 |
大きく骨造成(ソーセージテクニック)してインプラント埋入
治療前

治療後

施術名 | ソーセージテクニックGBR インプラント埋入FGG(歯肉移植) |
---|---|
主訴 | 重度歯周病により噛めない |
施術の副作用(リスク) | 感染 |
施術の価格 | ソーセージGBR(15万)FGG(6万)インプラント(35万)※税抜き |
コメント | ほかの歯科医院で重度歯周病のためインプラントはできないといわれ、当医院を受診されました。重度歯周病のため歯の周りの骨もなく。上顎洞までの距離まなく角化歯肉もありませんでした。この方はまずソーセージテクニックという大きく骨を作ることを行います。それから女学同に骨を作るソケットリフトも行いました。そのうえで角化歯肉の移植も行いました。 |
全顎インプラント(ソケットリフト)FGG(歯肉移植)かぶせもの70代女性
治療前

治療後

施術名 | インプラント左右5本埋入ソケットリフト(1本35万プラスソケットリフト5万税抜き)FGG2か所(1か所5万税抜き) |
---|---|
主訴 | 奥歯がはずれて噛めない |
施術の副作用(リスク) | 感染 |
施術の価格 | インプラント左右5本埋入ソケットリフト(1本35万プラスソケットリフト5万税抜き)FGG2か所(1か所5万税抜き) |
コメント | 奥歯の骨がなかったため骨を作るオペも施しインプラント埋入を行いました。また歯茎も堅い歯茎の移植も行いました。 |
インプラント72歳女性7本埋入
治療前

治療後

施術名 | インプラントオペ(抜歯即時GBR・角化歯肉移植FGG) |
---|---|
主訴 | 噛めない |
施術の副作用(リスク) | 感染 |
施術の価格 | 下7本インプラント(35万円×7)FGG2か所(5万円×2) |
コメント | 72歳女性。根の先のばい菌がありだめな歯は抜歯し残る歯をしっかり残しました。5か月で完成しました。抜歯即時インプラントとしその際に骨をしっかり作りました。またしっかりとした歯茎がないため長期予後が良くなるためにしっかりしたはぐきの移植もしました。 |
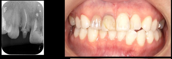
CTG(結合組織移植術)歯肉を移植する
治療前

治療後

施術名 | CTG(結合組織移植術)をしてジルコニアボンド |
---|---|
主訴 | 前歯の破折 |
施術の副作用(リスク) | 感染 |
施術の価格 | 66,000円 |
コメント | 50代男性。前歯が破折したためインプラント埋入だけでは審美が著しく劣ると判断したため骨も吸収していたため骨も作り(GBR)、CTG(結合組織移植術)もしました。 |
骨造成(ソーセージテクニック)インプラント埋入
治療前

治療後

施術名 | 骨造成ソーセージテクニック |
---|---|
主訴 | 歯が揺れる |
施術の副作用(リスク) | 感染症 |
施術の価格 | 20万(税抜き) |
コメント | 50代女性。歯周病で骨が解けていてこのままではインプラント埋入が不可能なので骨をしっかり作ってからインプラント埋入を行いました。 |
CTG歯肉移植術(やせた歯茎のところに歯肉結合組織を移植します)
治療前

治療後

施術名 | CTG歯肉移植術(やせた歯茎のところに歯肉結合組織を移植します) |
---|---|
主訴 | 前歯をきれいにしたい |
施術の副作用(リスク) | 感染脱落 |
施術の価格 | 66,000円 |
コメント | インプラントを2本入れて間の歯肉がやせたところは歯肉移植をしています。 |
ソケットリフト(上顎洞挙上術による骨造成インプラント)
治療前

治療後

施術名 | ソケットリフト(上顎洞挙上術による骨造成インプラント) |
---|---|
主訴 | 歯が腫れている揺れている |
施術の副作用(リスク) | 感染脱落 |
施術の価格 | 6万(インプラント代は別) |
前歯インプラント抜歯即時フラップなし
治療前

治療後

施術名 | 前歯インプラント抜歯即時フラップなし |
---|---|
主訴 | 前歯の破折 |
施術の副作用(リスク) | 感染脱落 |
施術の価格 | 45万 |
ソーセージテクニック(骨がないところに骨を作りインプラントを入れる)
治療前

治療後

施術名 | ソーセージテクニック30代男性 |
---|---|
主訴 | 歯が腫れている揺れている |
施術の副作用(リスク) | 感染症 |
施術の価格 | 10万から20万 |